Most people get two sets of natural teeth in a lifetime. Because of different jaw sizes, a normal amount of teeth can overcrowd some mouths.
Publish 28 October 2021
Grit Your Teeth
How important are your teeth? They can convey emotion, and help you bite, chew, break, and grind food. Teeth shape your face, contributing to a pleasant smile. But perhaps you feel your teeth are nothing to smile about.
Comprised of collagen and calcium, teeth are essential to your overall health. This requires that they are free from dental disorders.
Why Too Many Teeth?
How many teeth do you grow in your lifetime? Through age six, deciduous or primary baby teeth number 20. [1] At age six, 32 permanent adult teeth replace baby teeth. [2] An extra 1 to 12 teeth in your mouth is a disorder known as hyperdontia or supernumeraries.
Hyperdontia is manifest by either extra primary or permanent teeth. But extra primary teeth are more common. Men outnumber women with this rare disorder. A prominent indicator of hyperdontia is the growth of extra teeth close to or behind either primary baby or permanent adult teeth. Supernumerary teeth can have atypical shapes and locations. [3]
Overcrowding causes poor alignment or malocclusion, making it difficult to keep teeth clean. This leads to dental caries, bad breath, or gum disease. Sometimes extra teeth exert pressure on jaws and gums, causing swelling and pain. Gingival bleeding, gingival recession, gingival enlargement, and chronic periodontitis result from malpositioned teeth. [4]
What Causes Hyperdontia?
A small jaw or one with the wrong shape prevents all teeth from growing in their proper locations. Hyperdontia and teeth misalignment can both lead to overcrowding. Additional causes include [5]:
- Genetics (hereditary)
- Pushing tongue against teeth
- Teeth grinding (bruxism)
- Thumb-sucking babies
- Pacifiers after age two
Treatment For Too Many Teeth
Cosmetic dentistry professionals treat tooth overcrowding. The most common remedy is dental braces. Sometimes the dental arches to which teeth attach do not have enough space. Wisdom teeth often grow impacted or malpositioned. The removal of one or more permanent teeth creates space for other teeth. [6]
Used for gripping and tearing food, cuspids (eye teeth) are larger and stronger than the flat incisors (front teeth). Cuspid roots sink deeply into the bones of the jaw. [7] When maxillary cuspids protrude, an oral surgeon prefers to remove teeth adjacent to them. This allows cuspids to move into position and serve their useful purpose.

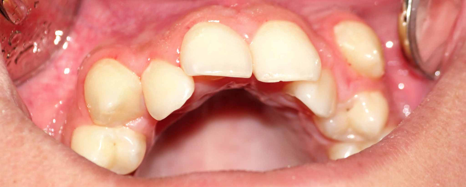
45-year-old male patient with protruding maxillary cuspids and tooth misalignment had four wisdom teeth and two molars removed to straighten remaining teeth with braces. Note smile improvement.
Discuss treatment options with your dentist, orthodontist, or oral surgeon. Orthodontics is the specialty of dentistry that deals with the correction of too many teeth. An orthodontist can treat overcrowding with devices like braces, Invisalign, dental veneers, and teeth extractions.
With proper care, healthy teeth should last throughout your lifetime. Early treatment for hyperdontia can keep you smiling longer.
To support the writing of useful articles about dentistry, ClinicalPosters sells human anatomy charts, scientific posters, and other products online. You may sponsor specific articles, become a ClinicalNovellas Member, or remit a small donation.
ClinicalPosters sells human anatomy charts, scientific posters, and other products online to offset expense of the writing useful articles about dentistry. Slide extra posters into DeuPair Frames without removing from the wall.
Show your support by donating, shopping for ClinicalPins, becoming a ClinicalNovellas Member, or leaving an encouraging comment to keep the research going.
To support the writing of useful articles about dentistry, ClinicalPosters sells human anatomy charts, scientific posters, and other products online. You may sponsor specific articles or remit a small donation.
ClinicalPosters sells human anatomy charts, scientific posters, and other products online to offset expense of the writing useful articles about dentistry. Slide extra posters into DeuPair Frames without removing from the wall.
ClinicalPosters sells human anatomy charts, scientific posters, and other products online. You may remit a small donation or become a ClinicalNovellas Member.
You can support the writing of useful articles about dentistry by sponsoring specific articles, becoming a ClinicalNovellas Member, or remitting a small donation. Visible content is optimized for device size.









Romance & Health Intertwine. Fall in love with a captivating romance miniseries that explores the essence of well-being. Become a ClinicalNovellas member for heartwarming tales.





